Imaging Core Lab Services für klinische Studien
RAYLYTIC ermöglicht durch fortschrittliche radiologische Analysen und maßgeschneiderte Imaging-Core-Lab-Services Medizinprodukteherstellern und CROs, schneller hochwertige, regulatorisch konforme Evidenz zu generieren.
Entdecken Sie unsere Imaging Core Lab Services
Unsere Imaging-Core-Lab-Services sind so konzipiert, dass sie die nahtlose wissenschaftliche, klinische und operative Nutzung der RAYLYTIC Platform unterstützen. Über 30 Medizintechnikhersteller mit unterschiedlichen regulatorischen Anforderungen vertrauen bereits auf unsere Erfahrung und Expertise.
Unser Angebot
Definition & Standardisierung von Bildgebungsendpunkten
Wir unterstützen Sie bei der Definition von Messmethoden, die zu Ihren Bildgebungsendpunkten führen, und beraten Sie bei der Festlegung relevanter Parameter. Dabei stellen wir sicher, dass die Endpunkte klinisch aussagekräftig, messbar und für Ihre spezifische Studie nachvollziehbar sind – basierend auf aktueller Fachliteratur und bewährten Standards. Hinweis: Wir erstellen keine Studienprotokolle oder regulatorische Dokumentation und sind nicht in die direkte Kommunikation mit regulatorischen Behörden eingebunden.
KI-basierte Analyse quantitativer radiologischer Parameter
Wir extrahieren quantitative Bildgebungsendpunkte, Produktleistungskennzahlen (Fusion, Senkung, Ausrichtung) und morphoanatomische Messungen mit Präzision. Unsere KI-gestützten Tools beschleunigen die Analyse um 50 % im Vergleich zu herkömmlichen manuellen Arbeitsabläufen und gewährleisten dabei Genauigkeit und Reproduzierbarkeit.
Zentrale Bildauswertung durch erfahrene Radiologen
Unabhängige, blinde zentrale Bildauswertung durch erfahrene, staatlich geprüfte Radiologen. Direkter Zugang zu erfahrenen Experten – ohne Warteschlangen oder Kundenbetreuer. Unser Netzwerk gewährleistet eine unvoreingenommene Auswertung mit standardisierten Protokollen und reaktionsschneller, persönlicher Unterstützung.
Bildqualitäts- und Compliance-Monitoring der Studienzentren
Wir überprüfen jedes Bild, um eine gleichbleibende Qualität und die Einhaltung der Protokolle sicherzustellen. Durch proaktives Feedback in Echtzeit an die Standorte werden kostspielige Probleme im weiteren Verlauf vermieden – im Gegensatz zu herkömmlichen reaktiven Ansätzen, bei denen Probleme erst entdeckt werden, wenn bereits teure Nacharbeiten erforderlich sind.
Bildmanagement-Infrastruktur
Proprietäres Bildmanagementsystem mit nativer EDC-Integration – Bilddaten können direkt in Ihrer Studiendatenbank gespeichert werden und mithilfe von eCRFs ausgewertet werden, nicht in separaten Silos. Keine zeitaufwändige Abstimmung oder manuelle Datenübertragung. Vollständiger Audit Trail und regulatorische Compliance sind integriert.
Entwicklung radiographischer Auswertungsprotokolle
Protokollentwicklung, zugeschnitten auf die individuellen Anforderungen Ihrer Studie – Bildgebungsmodalitäten, Bewertungsmethoden und Protokolle für ethische und regulatorische Einreichungen. Basierend auf Literaturrecherche und regulatorischen Leitlinien, mit der Flexibilität, sich während der Studie anzupassen, ohne bürokratische Hürden großer Organisationen.
Umfassende Expertise und Erfahrung in klinischen Studien der Orthopädie und der Wirbelsäule.
Führende MedTech-Unternehmen vertrauen auf unsere Expertise










Radiographische Analysen nach Anatomie
Wir bieten umfassende radiographische Analysen für Wirbelsule, Hüfte und Knie und nutzen fortschrittliche Bildanalysetechniken, um präzise, regulatorisch konforme Messungen für Ihre klinischen Studien zu liefern.
Wirbelsäule
- Bewegungsumfang (Range of Motion, RoM)
- Rotationszentrum (Center of Rotation, CoR)
- Bandscheibenhöhe
- Anteroposterior-Instabilität
- Cobb-Winkel
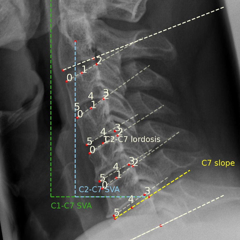
- Zervikal- und Lumbarlordose
- Segmentale Bewegungsanalyse
- Fusionsbewertung
- Implantat-Subsidence
- Und über 100 weitere Parameter
Hüfte
- Pfannen-Anteversion
- Pfannen-Inklination
- Beckenobliquität
- Beinlängendifferenz
- Centrum-Collum-Diaphysenwinkel (CCD-Winkel)
- Femorales Offset
- Komponentenpositionierung (6 Freiheitsgrade)
- Polyethylen-Liner-Verschleiß
- Femurschaft-Subsidence
- Pfannenmigration
- Osseointegrationsbewertung
- Aufhellungssaum-Detektion
Knie
- Hüft-Knie-Knöchel-Ausrichtungswinkel (HKA)
- Implantatkomponenten-Positionierung (6 Freiheitsgrade)
- Komponentenausrichtung (koronal & sagittal)
- Beinachse
- Femur-Tibia-Winkel
- Gelenklinien-Konversionswinkel
- Distaler Tibia-Winkel
- Proximaler Femur-Winkel
- Polyethylen-Verschleißquantifizierung
- Implantatmigration/-subsidence
Bildanalyse der Wirbelsäule für klinische Studien, Register und Forschung.
Wir verfügen über umfassende Erfahrung in der Planung und Durchführung klinischer Studien mit Bildgebungsendpunkten für alle wichtigen Wirbelsäulentherapien, einschließlich Fusion, Bewegungserhaltung und Deformitätskorrektur – von der frühen Machbarkeitsstudie bis zur Post-Market-Überwachung.
Unsere Erfahrung im Bereich Wirbelsäulenfusion umfasst zervikale und lumbale Verfahren mit Allografts, Autografts und bioaktiven Implantatmaterialien (Hydroxylapatit, demineralisierte Knochenmatrix) unter Verwendung standardisierter Protokolle für Röntgen-, CT- und MRT-Modalitäten.
Wir unterstützen IDE-, 510(k)- und PMA-Einreichungen mit regulatorisch konformen Messungen von Fusionsstatus, segmentaler Bewegung, Ausrichtung, Subsidence und Implantatleistung – alles mit schnellerer Bearbeitungszeit und nahtloser EDC-Integration im Vergleich zu traditionellen Core Labs.
Präsentiert auf
Implantat-Positionierung und -Leistungsanalyse in der Hüftendoprothetik.
Wir verfügen über umfassende Erfahrung in der Unterstützung von Herststellern von Hüft-Totalendoprothesen (TEP) mit radiographischer Analyse während der gesamten Produktentwicklung – von primären TEP-Eingriffen über Revisionsprozeduren bis hin zur Post-Market-Überwachung.
Unser Team hat proprietäre 2D-3D-Bildregistrierungstechniken entwickelt und validiert, die präzise Implantatpositionierungsmetriken (Pfanneninklination und -anteversion) sowie lineare Verschleißmessungen aus klinischen Standardröntgenaufnahmen extrahieren. Diese Methodik wurde in mehreren klinischen Studien zur Unterstützung regulatorischer Einreichungen angewendet und ermöglicht Bewertungen der Gerätesicherheit und -wirksamkeit ohne spezialisierte Bildgebungsprotokolle.
Unsere TEP-Expertise umfasst:
- Primäre und Revisionsverfahren
- Komponentenpositionierungsanalyse für konventionelle und robotergestützte Eingriffe
- Langzeit-Migrationsbeurteilung (Femurschaft-Subsidence, Pfannenmigration)
- Polyethylen-Liner-Verschleißquantifizierung
- Osseointegrationsbewertung von Pfannenkomponenten
- Überwachung der Geräteintegrität und Aufhellungssaum-Detektion
Wir haben Hersteller von Hüft-TEP-Implantaten dabei unterstützt, robuste, regulatorisch konforme Evidenz über verschiedene Implantatdesigns und chirurgische Ansätze hinweg zu generieren.
Implantat-Positionierung und -Leistungsanalyse in der Knieendoprothetik
Wir verfügen über umfassende Erfahrung in der Unterstützung von Herstellern von Knie-Totalendoprothesen (K-TEP) mit umfassender radiographischer Analyse während der gesamten Produktentwicklung – von primären K-TEP-Eingriffen über Revisionsprozeduren bis hin zur Post-Market-Überwachung.
Unsere validierte Methodik ermöglicht die präzise Quantifizierung kritischer biomechanischer und Performance-Endpunkte aus klinischen Standardröntgenaufnahmen, einschließlich:
- Ausrichtungsbewertung: Hüft-Knie-Knöchel-Winkel (HKA), mechanische und anatomische Beinachse
- Komponentenpositionierung: 6-Freiheitsgrade-Analyse (6-DoF) für femorale und tibiale Komponenten
- Komponentenausrichtung: Koronale und sagittale Ebenenpositionierung relativ zu anatomischen Landmarken
- Performance-Monitoring: Polyethylen-Verschleißquantifizierung und Implantatmigrations-/Subsidence-Tracking über die Zeit
Dieser Ansatz wurde in mehreren klinischen Studien zur Unterstützung regulatorischer Einreichungen sowohl für konventionelle als auch für robotergestützte K-TEP-Verfahren angewendet und liefert die regulatorisch konforme Evidenz, die Hersteller für verschiedene Zulassungswege benötigen.
Bereit, Ihre klinische Studie zu beschleunigen?
Kontaktieren Sie unser Team, um Ihre Studienanforderungen zu besprechen.
Unser Know-How in der muskuloskelettalen Bildanalyse ist wissenschaftlich belegt.
Unsere Imaging Core Lab-Experten sind führend auf dem Gebiet der muskuloskelettalen Bildanalyse und arbeiten regelmäßig mit wichtigen Meinungsführern zusammen, um unsere Techniken zu validieren. Die Genauigkeit unserer Algorithmen wurde in zahlreichen Validierungsstudien bestätigt und in renommierten Journals publiziert.
Wirbelsäule
Can artificial intelligence support or even replace physicians in measuring sagittal balance? A validation study on preoperative and postoperative full spine images of 170 patients // mehr lesen
Hüfte
Cup positioning and its effect on polyethylene wear of vitamin E- and non-vitamin E-supplemented liners in total hip arthroplasty: Radiographic outcomes at 5-year follow-up // mehr lesen
Methodologies to Evaluate Linear Penetration and Volumentric Wear in Clinical Studies – Imaging Techniques for the Evaluation Of Artriculations in THA, TKA to Assess Wear and Function of the Joint Throughout the Expected Implant Lifetime // mehr lesen
Knie
Was die Experten über RAYLYTIC sagen
"Spezielle, validierte, computergestützte Methoden, wie Functional X-ray Analysis (FXA, RAYLYTIC, GmbH), können verwendet werden, um die Genauigkeit und Präzision der Bewertung der Implantatleistung erheblich zu erhöhen."
– 1. EFORT Europäischer Konsens über medizinische und wissenschaftliche Anforderungen für
die Einführung von künstlichen Gelenkendoprothesen
Beispielanalysen
Imaging Core Lab Services für klinische Studien
Die Functional X-Ray Analysis (FXA) Software unseres Imaging Core Labs analysiert genau und präzise über 150 radiologische Parameter der Wirbelsäule, Hüfte und Knie.
Welche sind die am meisten nachgefragten Parametermessungen?
Wirbelsäule
Range of Motion (RoM)
Der maximale Bewegungsumfang, der häufig als Range of Motion (RoM) bezeichnet wird, ist ein quantitativer Parameter, der in der Bewertung der Wirbelfusion hinzugezogen wird.
RoM wird als Winkeldifferenz zweier benachbarter Wirbel in der Beuge- und Streckhaltung eines Patienten gemessen und als absoluter Wert in Grad (°) angegeben.
Die FXA-Software von RAYLYTIC misst RoM nachweislich 15-mal genauer als erfahrene Ärzte (Schulze et al., J Biomech 2011).
Typ
Quantitativ
Bildtyp
Laterale Flex/Ex
Maßeinheit
Grad (°)
Wirbelsäule
Translatorische AP-Bewegung
Ein weiterer quantitativer Parameter zur Beurteilung der Wirbelsäulenfusion, die translatorische AP-Bewegung (oder Instabilität), wird als Differenz der Listhese (Wirbelgleiten) in Flexion minus der Listhese in Extension ausgedrückt.
Die Werte sind in Millimetern angegeben. Positive Werte weisen auf eine Spondylolisthese hin, negative Werte auf eine Retrolisthese.
Typ
Quantitativ
Bildtyp
Laterale Flex/Ex
Maßeinheit
Grad (°) oder mm
Hüfte
Inklination und Anteversion der Hüftpfanne
Unter Pfanneninklination versteht man den Winkel in Grad (°) der Pfannenoberfläche gegenüber der horizontalen (medio-lateralen) Achse.
Die Anteversion der Pfanne ist der Winkel in Grad (°) der Pfannenoberfläche gegenüber der Symmetrieachse der Pfanne in der Frontalebene.
Zur Beurteilung dieser Parameter sind CAD-Modelle der Implantate erforderlich.
Typ
Quantitativ
Bildtyp
AP Beckenaufnahme
Maßeinheit
Grad (°)
Hüfte
Hüftimplantat-Migration
Die Verschiebung des Hüftimplantatschafts relativ zum Oberschenkelbein (Femur) wird kranial-kaudal (mm) und medial-lateral (mm) gemessen. Die Winkelveränderung wird in Grad (°) gemessen.
Die Bewegung der Hüftpfanne relativ zum Becken wird ebenfalls kranial-kaudal (mm) und medial-lateral (mm) gemessen.
Typ
Quantitativ
Bildtyp
AP Beckenaufnahme
Maßeinheit
mm
Knie
Implantatabrieb
Abrieb ist ein Schlüsselfaktor, der die Lebensdauer orthopädischer Implantate beeinflusst, und bezieht sich auf die allmähliche Erosion und die anschließende Produktion von Mikropartikeln, die u.a. zu aseptischen Lockerungen führen können.
In der Vergangenheit waren für die Quantifizierung der Abnutzung zusätzliche invasive Verfahren erforderlich. RAYLYTIC verwendet eine validierte, hochpräzise 2D-3D-Registrierungstechnik zur Verschleiß-Bestimmung in klinischen Röntgenbildern von Knieprothesen (Lutter et al. 2021, German Congress of Orthopaedics and Traumatology).
Typ
Quantitativ
Bildtyp
AP Knieaufnahme
Maßeinheit
mm
Knie & Ganzbein
Ausrichtung der unteren Gliedmaßen
Die Beurteilung der Knieausrichtung anhand von Ganzbeinaufnahmen im Stehen (FLR) ist eine etablierte und standardisierte Methode zur Bestimmung der tragenden Achse des Beins unter Belastung (Erne et al., Diagnostics 2022).
Typ
Quantitativ
Bildtyp
AP Ganzbeinaufnahme
Maßeinheit
Grad (°)
Planen Sie eine Studie?
Sprechen Sie mit unserem Team über Ihre Bildgebungsanforderungen. Wir helfen Ihnen, die richtigen Endpunkte zu definieren, Ihre Studie effizient aufzusetzen und hochwertige, regulatorisch konforme Evidenz zu generieren.